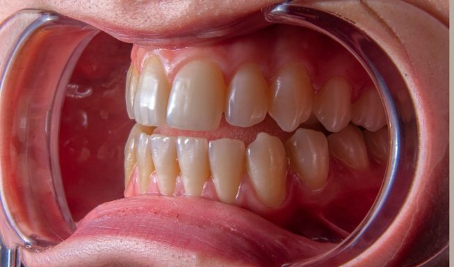
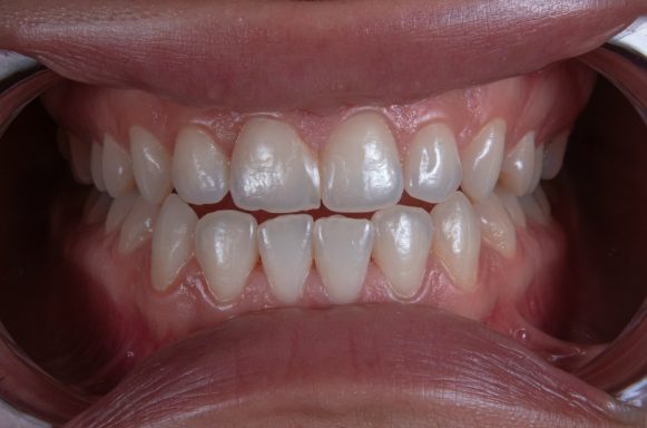
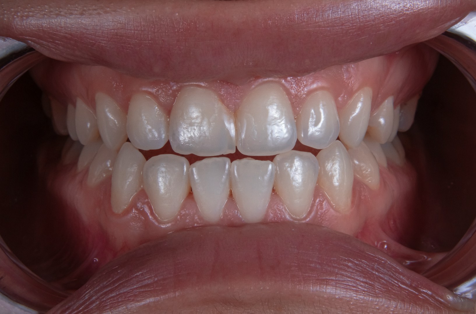
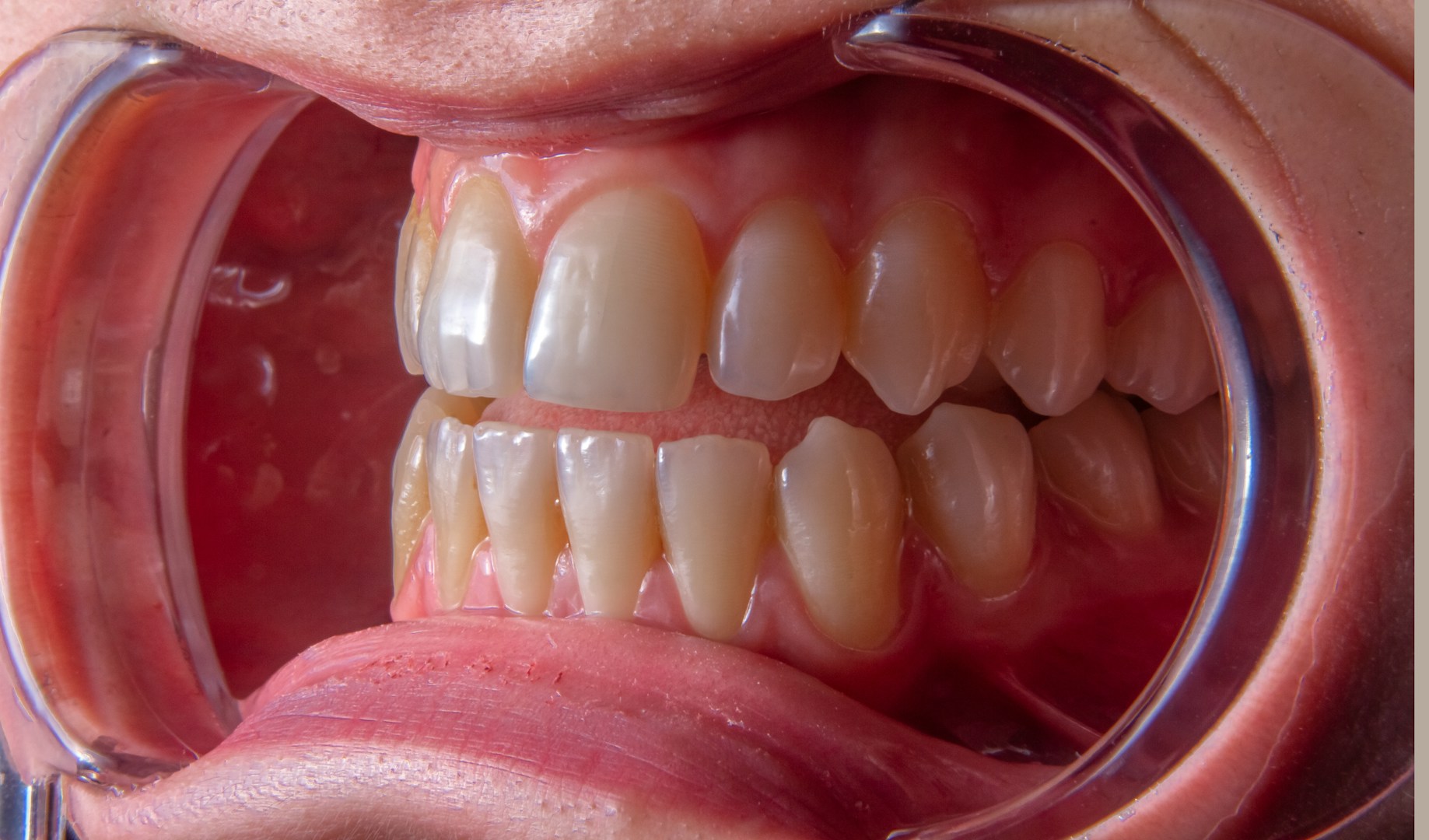
Hier Beschwerdebilder, die Sie leicht selbst feststellen können
Vom Problem zur Harmonisierung
Jedes Lebensalter hat bestimmte Marker, die man selbst, als Eltern oder Partner/Freunde beobachten kann. Schauen Sie einmal durch die Galerie. Bei jedem Bild finden Sie eine kurze Beschreibung.
Auch hartnäckige Probleme können durch die Balancer und ein kurzes tägliches Training gute verbessert werden. Dentosophie ist einfach eine wunderbare Sache.
Unter dem Abschnitt Lebensphasen finden Sie die genaue Beschreibung und den Ablauf für jedes Alter.

























